Причини виникнення одонтогенного гаймориту
На відміну від риногенного, одонтогенний гайморит виникає виключно з причини захворювання зубів і запальних процесів, що протікають в ротовій порожнині. Через уражені мікробами коріння верхнього ряду зубів інфекція проникає в гайморові пазухи, викликаючи запалення слизової оболонки. У числі основних причин виділяють:
- Гігієна ротової порожнини. Неправильне чищення сприяє розвитку патогенної флори в ротовій порожнині і стає причиною багатьох захворювань. А навіть один хворий зуб здатний спровокувати одонтогенний гайморит.
- Найбільш часто причиною цього різновиду гаймориту стають захворювання тканин, що утримують зуб в альвеоле, ‒ пародонтоз, пародонтит.
- Карієс. Ні в якому разі не можна нехтувати його лікуванням. Карієс руйнує емаль зуба і «розчищає» шлях мікробів, що проникають в гайморові пазухи через канали кореня.
- Запалення м’яких тканин в роті, що викликають нагноєння.
- Непрофесійне пломбування.
- Часткове видалення коренів зубів верхньої щелепи.
- Неправильно імплантований імплантат.
У деяких випадках провокує розвиток гаймориту елементарне видалення зуба, якщо воно відбувається на тлі протікають запальних процесів. Через простір, що утворився інфекція безперешкодно проникне в гайморові пазухи.
https://www.youtube.com/watch?v=4DdYvs9fryE
Одонтогенний синусит – це запальний процес слизових оболонок придаткових камер носа, що розвивається внаслідок переходу інфекції від хворого зуба верхньої щелепи. Причин може бути декілька:
- Помилка стоматолога при установці пломби. Коріння жувальних зубів верхньої щелепи часто розташовані близько від гайморової пазухи, іноді навіть виступаючи в неї. Іноді недосвідчений лікар, чистячи і пломбуючи зубний канал, може через нього занести в воздухоносный кишеню частина пломбувального матеріалу. Пломба, опинилася поза зуба, ідентифікується організмом в якості стороннього тіла, і запускається захисний механізм, який провокує запальний процес.
- Невдале видалення хворого зуба. Під час видалення зуба частина кореня може відколотися і проникнути в придатковий кишеню. Якщо ж корінь виступає в пазуху, то після видалення утворюється свищ, який стає воротами для розповсюдження патогенів з ротової порожнини. Тим же може закінчитися і неякісна установка імплантату.
- Недостатній догляд за ротовою порожниною. Більшість людей не приділяють догляду за зубами достатньо уваги, обмежуючись лише їх щоденним чищенням. З-за цього розвиваються хвороби зубів, які можуть загостритися в будь-який момент. Бажання при появі неприємних симптомів відтягнути похід до стоматолога до останнього може закінчитися синуситом, особливо якщо уражений нерв.
Хворобами зубів, які можуть стати причиною одонтогенного синуситу:
- глибокий запущений карієс або пульпіт верхніх премолярів і молярів;
- нагноєння зубний кісти;
- періодонтит;
- пародонтоз;
- остеомієліт;
- пухлина, що руйнує стінку синуса.
Збудником в основному є змішана мікрофлора порожнини рота (стрептококи, ентерококи, стафілококи, диплококки, різні палички). Недуга може носити гострий, підгострий і хронічний характер.
Хвороба може розвиватися не відразу після невдалого втручання стоматолога, процес здатний запуститися як через кілька днів, так і через півроку після видалення зуба або установки імплантату.

Хвороба буде провокуватися інфекцією, яка вражає ротову порожнину або причина полягає в проблемі з корінними зубами.
- Неправильний догляд або відсутність догляду за ротовою порожниною. Подібна проблема одна з найбільш часто зустрічаються, адже мало хто виконує приписи стоматологів з чищення зубів і догляду за ротом. Сюди відноситься і несвоєчасне звернення до стоматолога. Не варто боятися візиту до цього лікаря, адже ранній прихід допоможе швидко впоратися з проблемою, а після доведеться мати справу з неприємними наслідками. Найбільше ризикують ті, хто має запущений карієс і вже починається некроз нерва зуба. Подібна ситуація передбачає запалення тканин, що знаходяться поблизу нерва і прохід інфекції до гайморової пазусі.
- Некоректна інсталяція та вибір пломби. Буває і так, що недостатньо стежити за своїм здоров’ям, адже труднощі можуть з’явитися по незалежним причинам. У ряді випадку цією причиною виступають не дуже добре розбираються у своїй роботі стоматологи. Так влаштовано, що на верхніх задніх зубах корені знаходяться на незначній відстані від пазух. Може знадобитися пломбування та чищення каналу, при якій стоматолог, якщо він не досвідчений, занесе частина пломбування в гайморову пазуху, провівши її із зубного каналу. Знаходить поза межі зуба пломба буде визначена організмом, як чужорідне тіло і починається відповідна реакція.
- Видалений зуб. У деяких ситуаціях спостерігається потрапляння зубного кореня в раніше описану пазуху. У випадку зі здоровим зубом він знаходиться на тому місці, яке йому відведено і труднощів не виникає. Після видалення буде утворений так званий свищ і через нього інфекція проходить до гайморової пазусі.
Встановити, з якої причини виникає раптово гострий синусит одонтогенного виду елементарно. Потрібно розбиратися в характерних рисах структури черепа обличчя. Коріння 2-ой премолярів верхньої щелепи розміщені близько верхньощелепних пазух, з цієї причини вони мають всі шанси входити до них.
Якщо в організм надходить зараження, то шар кісток між верхніми елементами коренів зубів і пазухи верхньої щелепи стає дуже вузьким. В деяких випадках він цілком руйнується. Це надає можливість попадання зарази область пазух, що призводить до формування запального процесу.
Причини виникнення одонтогенного гаймориту:
- Періодонтит. Тканина на яснах страждає від запалення. Патологія переходить в пазушну область.
- Остеомієліт. Некроз вражає верхньощелепну порожнину. Він може переходити в пазухи.
- Після заходи з видалення зуба може початися перфорація пазух. Найчастіше це відбувається при видаленні шостого зуба. Коли зубний корінь потрапляє в порожнину верхньої щелепи, то після його усунення може залишитися свищ. Іншими словами, це прохід для інфекції. Під час цього ускладнення варто звернутися до челюстному хірурга, який може позбутися від проблеми.
- В пазухи може потрапити матеріал для пломбування зубів. Це трапляється, коли лікар має мало досвіду і береться за пломбування каналів другого премоляра зверху. Чужорідне тіло починає відторгатися і трапляється запалення. Причиною хвороби може стати неякісно встановлена пломба.
- Іноді захворювання проявляється з-за неправильного будови щелепи, яке може бути вродженим або спадковим.
- Найчастіша причина виникнення такого гаймориту – наслідок запущеного карієсу, який призводить до розпаду зубного нерва. Починається некроз, продукція якого призводить до запалення. Це запалення перетікає на пазухи.
Як говорилося раніше, одонтогенні синусити виходять з зубів. Причиною одонтогенного гаймориту може бути:
- невдале лікування або видалення зубів (особливо першого і другого верхнього моляра і першого премоляра);
- періодонтит і інші типи пародонтозу;
- остеомієліт щелепи;
- кісти;
- карієс;
- периимплантит (запалення після імплантації).
Майже в половині випадків у виникненні одонтогенного гаймориту у дорослих винні медичні працівники, що проводять стоматологічні операції. Наприклад, під час пломбування матеріал може потрапити в пазуху.
Також траплялися ситуації, коли в десні залишали шматок видаленого зуба, перев’язувальні матеріали або сторонні предмети. Завжди є ймовірність випадкового травмування слизової оболонки або неправильної установки імплантату.
Сприятливі і обтяжливі фактори:
- анатомічні обструкції синуса (можуть виникати при відхиленої носової перегородки);
- алергічний риносинусит;
- розлад мукоциліарного кліренсу;
- поганий імунологічний статус.
Патологічними агентами, які викликають гайморит – це бактерії, віруси та грибки, але частіше виявляють змішану інфекцію. У розвитку гострого одонтогенного синуситу найчастіше грають роль α-гемолітичні стрептококи, золотистий стафілокок, грамнегативні бацили. При хронічному синуситі в 50% випадків виявляють суміш анаеробних бактерій.
Грибкові інфекції, такі як аспергільоз і мукормикоз, більш поширені у хворих зі зниженим імунітетом.
Причини розвитку захворювання та його види
Профілактика полягає в декілька правил:
Відвідувати стоматолога для профілактичного огляду, а при появі болю зуба – проводити його лікування.- Стежити за станом здоров’я, приймати вітаміни і ШСЗ в епідсезон.
- При появі перших ознак гаймориту звертатися за кваліфікованою допомогою, а не використовувати «бабусині» рецепти.
- Дотримуватися гігієни порожнини рота, що знижує ризик стоматологічних проблем.
- В стадії хронізації виконувати всі лікарські призначення.
Одонтогенний гайморит – той вид патології, який можна попередити.
Гайморит зубний етіології – небезпечне захворювання. Його небезпека полягає у високій імовірності розвитку ускладнень, небезпечних для здоров’я пацієнта. Своєчасне лікування патології виключає несприятливі наслідки.
Відео по темі:
Одонтогенний гайморит: симптоми і лікування. Консультація ЛОРа
02:57
Стоматологія. Одонтогенний гайморит
44:16
Одонтогенний гайморит
03:20
Одонтогенний синусит
04:17
Одонтогенний гайморит
Слово «одонтогенний» говорить про те, що хвороба бере початок із зубів. Дно гайморової або верхньощелепної пазухи утворює альвеолярний і піднебінний відросток верхньої щелепи. Кісткова стінка, що відокремлює пазухи від коренів зубів в деяких місцях цілком відсутній, тому їх відділяє лише слизова оболонка.

На практиці зустрічається гострий одонтогенний гайморит, який виникає раптово і триває протягом декількох тижнів, і хронічний, який триває більше 1 місяця. Обидві форми хвороби приховують свої небезпеки і потребують індивідуального підходу.
Зазвичай розвивається односторонній процес. Двосторонній одонтогенний гайморит – це рідкість. Гайморит, який з’являється від хворого зуба, має такі ж симптоми, як і інші види гаймориту, у зв’язку з чим дуже важко поставити точний діагноз.
Даний вид синуситу практично не відрізняється по клінічній картині від інших, тому одонтогенна етіологія може бути втрачено увазі. Зубні симптоми одонтогенного гаймориту є малопомітними, а практично завжди при гострому запаленні переважають носові і системні клінічні прояви:
- лицьова біль над верхнещелепними синусом;
- носова обструкція;
- виділення з носа (частіше гнійні);
- неприємний запах в носі і гнильний смак у роті;
- погіршення загального стану у вигляді лихоманки, нездужання, головного болю.
Хронічний гайморит із зуба викликає тривалу односторонню або двосторонню обструкції носа, погіршення нюху, постназальный синдром. Гнійні виділення іноді виявляються тільки під час риноскопії.
В першу чергу, пацієнтам, які відчувають симптоми одонтогенного гаймориту, необхідно провести риноскопию, а також огляд зубів.
Під час нього можуть бути виявлені наступні ознаки:
- запалення кореневої оболонки зуба;
- альвеоліт на місці видаленого зуба;
- хитаючийся зуб;
- абсцес.
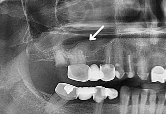
Під час діагностики одонтогенного гаймориту лікар повинен звернути особливу увагу на наявність зубних пломб, імплантатів і карієсу. Оцінити стан пазух можна за допомогою рентгенологічного дослідження.
Щоб виявити приховані патології лікар може призначити ортопантомограму – знімок щелепи з зубами. По ньому можна побачити характерні ознаки одонтогенного гаймориту.
З допомогою назального ендоскопа можуть провести огляд носових ходів і пазух. Це допомагає виявити будь-які відхилення, які могли стати причиною обструкції синусів.
Запальне захворювання, яке викликає резорбцію кістки, можна побачити за допомогою комп’ютерної томографії. КТ взагалі є найбільш чутливою, вона здатна з високою точністю розрізняти кістки та м’які тканини, тому томографію можна назвати золотим стандартом в діагностиці тривалого синуситу, коли не можливо встановити його причину.
Лікування одонтогенного гаймориту необхідно використовувати медикаментозний та хірургічний підхід. Лікуванням займаються тільки професіоналами – ЛОР-лікар стоматолог. Дантист проводить санацію порожнини рота, усуває всі вогнища інфекції, при необхідності видаляє уражений зуб або розкриває абсцес.
ЛОР лікує безпосередньо синусит. Для цього потрібно:
- знищити інфекцію;
- зняти біль і набряк тканин;
- полегшити вихід слизу із пазухи і підтримувати нормальну прохідність.
Обидва види одонтогенного гаймориту – гострий і хронічний потребують антибактеріальної терапії. В якості терапії першої лінії для гострої форми недуги вибирають Амоксицилін. Альтернативні препарати – це цефалоспорини другого і третього поколінь, такі як Цефаклор і Цефуроксим.
Коли пацієнти не реагують на препарат першої лінії, вірогідною причиною є наявність бактерій, які продукують бета-лактамазу, або резистентних штамів. Амоксицилін-клавуланат (Амоксиклав) є високоефективним проти таких стійких штамів. При одонтогенних гаймориті у дітей часто призначається комбінація еритроміцину і сульфисоксазола.
Гострий гайморит слід лікувати принаймні 14-денним курсом, так як це дає можливість повністю видалити інфекцію з організму. При хронічному запаленні може тривати 4-6 тижнів для лікування.
Для усунення симптомів хвороби призначають:
- сосудосуживащие краплі або спреї для носа. Судинозвужувальні засоби, такі як фенілефрин (Адріанол, Виброцил, Назол Бебі) і оксиметазолін (Назомакс, Ноксивин) надають майже негайне симптоматичне полегшення за рахунок зменшення набряку слизової оболонки носа. Однак, використання цих препаратів протягом тривалого періоду часу пов’язане з високим ризиком звикання;
- протизапальні спреї і краплі. Кортикостероїди допоможуть зменшити запалення і, отже, збільшити діаметр протоки. Для дорослих підійде Піносол спрей, Беконазе, а дітям можна давати краплі Полидекса, Авамис, Фліксом спрей;
- сольові спреї або іригація. Сольовий розчин зволожує слизову оболонку носа та сприяє розрідженню виділень. Можна купити аптечні спреї, типу Но-соль або Марімер, або ж робити промивання носа саморобним сольовим розчином з шприца. Такі процедури можна проводити як дорослим, так і дітям;
- фізіотерапію. На завершальному етапі хвороби одужати допоможуть процедури, що сприяють прискоренню кровообігу, зняттю набряку і болю, а також надають бактерицидну дію. Наприклад, можуть призначити УВЧ, солюкс або інгаляції.
При сильному болі можна прийняти анальгетики (наприклад, Парацетамол, Анальгін) або нестероїдні протизапальні препарати (Ібупрофен, Нурофен). Вони допоможуть усунути лихоманку. Дітям краще купувати спеціальні засоби у вигляді сиропу.
Антигістамінні препарати без симптомів алергії не прописують, оскільки в синуситі мало або взагалі відсутня гістамін.
Щоб запобігти інфікуванню верхньощелепної пазухи, потрібно стежити за здоров’ям ротової порожнини і регулярно проходити огляд у стоматолога. Звичайно, до вибору сімейного лікаря необхідно підходити серйозно, так як погані фахівці часто завдають шкоди пацієнтам.
Додатково для профілактики одонтогенного гаймориту та інших ЛОР-захворювань важливо приділити увагу імунітету. Для його зміцнення можна скористатися спеціальними засобами або вітамінами, а також не забувати про здоровий спосіб життя, що включає здорове харчування, сон і відмова від шкідливих звичок.
Запалення гайморових пазух прийнято називати гайморитом. Найчастіше захворювання розвивається внаслідок несвоєчасного лікування застуди. Але вогнищем інфекції може бути також і несвоєчасно вилікуваний зуб.
Ще одним типовим ознакою захворювання є втрата нюху. Це дуже неприємний симптом. Закладає вуха і не відчувається смак їжі. Пацієнт може взагалі втратити апетит. А адже повноцінне харчування в період захворювання відіграє важливу роль.

При захворюванні може незначно підвищуватися температура тіла. Якщо паралельно присутній біль у ділянці пазух носа, закладає вуха, слід негайно звернутися до лікаря. Такий стан організму є дуже небезпечним. Хронічний одонтогенний гайморит в ряді випадків може призвести до розвитку менінгіту.
В більшості випадків причиною гаймориту стає інфекція, яка передається повітряно-крапельним шляхом або через кров. Існують і інші фактори, що провокують захворювання. Це може бути несвоєчасно вилікуваний карієс, запалення ясен, неправильний прикус.
У алергіків також може виникати одонтогенний гайморит. Симптоми захворювання повинні бути досліджені в першу чергу. Закладає вуха, піднялася температура, болить зуб – будь-який з цих станів є серйозним приводом звернутися до терапевта.
Порушення нормальної роботи імунної системи може спровокувати появу низки патологій. Захисні функції організму в цьому разі зменшуються, і у людини набагато більше шансів підхопити простудні захворювання і, як наслідок, одонтогенний гайморит.
Симптоматика
Варто звернутися до фахівця, як тільки з’являються перші ознаки захворювання. У подібному випадку можна уникнути тривалого лікування та небажаних наслідків. Одонтогенний гайморит може мати наступні симптоми:
- проблеми з нюхом;
- загальна слабкість;
- головні болі;
- хворого може морозити або піднімається температура;
- є проблеми зі сном;
- в районі гайморової пазухи можуть спостерігатися болючі відчуття.
Якщо має місце перфоративный гайморит, то відбудеться повідомлення ротової порожнини, пазухи і носа. Крім цього в носовій порожнині може з’являтися частина рідкої їжі, але тоді, коли голова знаходиться у вертикальному положенні. При відхиленні тому протягом рідини зупиняється.
Симптоми даного різновиду хвороби лише в малому відрізняються від ознак простого гаймориту, який не спровокований стоматологічними проблемами.
Спостерігаються такі ознаки, властиві всім формам запалення верхньощелепних пазух:
- Проблема може викликати біль у голові.
- Біль у ділянці проекції верхньої щелепи.
- Закладений ніс.
- Складності дихання.
- Виділення з гноєм.
- Погане самопочуття.
- Інтоксикація.
Під час гнійної форми захворювання підвищується температура, ознаки інтоксикації організму стають яскравішими. З’являється слабкість. Хворий розуміє, що з його рота неприємно пахне. Дихання здійснюється через рот.
До додаткових симптомів, характерних для даного типу хвороби можна зарахувати біль в зубах, яка розпізнається, як стоматологічна. Найчастіше біль зачіпає п’яті і шості зуби, а також зуби мудрості.
Зубний біль може з’являтися і при катаральному типі гаймориту. В даній ситуації болять четверті і п’яті зуби.
Іноді біль такого типу призводить до того, що лікар ставить неправильний діагноз. Ставиться пломба, зуб видаляється. Це трапляється досить часто.
Пацієнт довгий час може приймати одонтогенний гайморит за звичайний пульпіт. Існує ряд симптомів, які дозволять виявити недугу набагато раніше. Чим швидше буде розпочато правильне лікування, тим більше шансів на позитивний результат.
В першу чергу пацієнт повинен зрозуміти, чому виникла зубний біль. Якщо до цього додається підвищена температура тіла, біль у ділянці гайморових пазух, зміна голосу, варто викликати лікаря додому.
Досить часто закладеність носа може не супроводжуватися слизовими виділеннями. Але дихати виявляється досить важко. Погіршення носового дихання може бути викликана набряком слизової внаслідок запального процесу.
Пацієнт, що страждає захворюванням, швидко стомлюється. Він не може повноцінно справлятися з повсякденними обов’язками. Порушення сну також нерідко супроводжує одонтогенний гайморит. Це може бути пов’язано з больовими відчуттями і погіршення носового дихання.
Стоматологічним гайморитом хворіють дорослі люди, оскільки зубні коріння у дітей невеликі і не дістають до нижньої стінки синуса. Найчастіше цей вид синуситу носить односторонній характер, уражається лише порожнину, що стикається з хворим зубом.
Ця різновид верхньощелепного синуситу проходить через дві стадії розвитку:
- серозну, при якій йде гостре запалення, розширення судин, набряк тканин і наповнення рідиною клітин;
- гнійну, коли слиз накопичується, з’являється гній та інтоксикація організму.
Недуга в гострій формі відрізняється такими характерними симптомами:
- Закладеність (частіше одностороння) і ускладнене носове дихання.
- Виділення з носа спочатку водянисті і прозорі, пізніше – з домішкою гною, мають неприємний запах.
- Біль може охоплювати як всю голову, так і окремі її частини (десну, око, зуб, щоку), носить ниючий тупий характер.
- Лихоманка, висока температура (до 39 градусів), іноді світлобоязнь, сльозотеча.
- Загальна слабкість, порушення сну, відсутність апетиту.
- Болючість зубів при пережовуванні їжі.
- Запалення ясен, наявність на них невеликих ранок.
- Гнильний запах з ротової порожнини.
- Запалені лімфатичні вузли.
- Порушення нюху.
- Припухлість щоки в районі ураженої камери.
У разі, коли лікування було недостатньо кваліфікованим, а джерело інфекції (уражений зуб, пломбувальний матеріал) не був видалений, то розвивається хронічна форма синуситу. Вона характеризується частою болем в інфікованому зубі, підвищеною стомлюваністю, зниженням працездатності.
Іноді виявляються головні болі, гнійні виділення з назальних ходів, погіршення нюху, відчуття закладеності. Цей вид хвороби може рецидивувати від переохолодження, респіраторних захворювань, інших патологій. Часто хронічна форма стоматологічного гаймориту протікає практично безсимптомно.
Симптоми зубного гаймориту практично не відрізняються від симптоматики синуситів. Потрібно негайно звернутися до лікаря, якщо:
- нюх різко погіршилося;
- знижена працездатність, відчувається слабкість і млявість;
- стали турбувати головні болі;
- з’явився озноб або висока температура;
- сон став переривчастим і неспокійним.
В деяких випадках виявляються незначні больові синдроми в районі гайморових пазух. Як правило, на ранній стадії захворювання всі перераховані ознаки виражені не яскраво і посилюються з часом при відсутності лікування.
Ознаки зубного синуситу не має великої різниці від звичайної форми гаймориту. Клінічна картина залежить від форми та характеру перебігу хвороби. Загальними симптомами є:
підвищення температури тіла;- озноб;
- інтенсивні головні болі;
- набряклість обличчя;
- закладеність носа;
- збільшення слизистих виділень;
- болючість при пальпації області щік з можливим запаленням;
- болючість зубів і підвищення їх чутливості до зовнішніх факторів.
Симптоматика гострого і хронічного процесу різна. Скарги пацієнтів та клінічна картина має невелику схожість:
- при гострому періоді притаманні такі скарги:
- нездужання і слабкість;
- пульпіт і внутрішній тиск на верхню десну;
- відсутність носового дихання і світлочутливість;
- набряклість обличчя і зміна його форми.
- хронічний тип недуги:
- нежить, виділення з носа з неприємним запахом;
- інтенсивність болю припадає на першу половину доби;
- хронічна мігрень і запаморочення;
- погіршення працездатності і сну.
При об’єктивному дослідженні встановити діагноз не складе особливої праці. Не останню роль відіграє риноскопія, з допомогою якої можна виявити джерело інфекційного процесу.
Класифікація
Гайморит може бути двох типів: риногенних і одонтогенний. Останній, у свою чергу, також поділяється на два підвиди залежно від форми перебігу: гострий і хронічний одонтогенний гайморит.
При гострому одонтогенних гаймориті присутні наступні симптоми:
- слабкість;
- важкість у носовій порожнині;
- знижений нюх;
- ніс закладений з одного боку;
- виділення з носової порожнини мають зеленуватий (гнійний) колір;
- у місці запалення виразно відчувається біль під оком або в області щоки;
Дискомфорт під час пережовування їжі також вважається ознакою одонтогенного гаймориту. У рідкісних випадках у хворого з гострою формою захворювання спостерігається місцевий набряк обличчя. Триває стадія гострого захворювання не довше трьох тижнів.
Хронічний одонтогенний гайморит, навпаки, не відрізняється яскраво вираженою симптоматикою. Захворювання протікає в спокійній формі і частіше практично не турбує хворого. Виняток становлять тільки виділення з носової порожнини з гнійними домішками і почуття розпирання носа.
Хронічна форма розвивається при неправильному (неповноцінному) лікуванні зубів або гострої форми захворювання. Хронічна стадія при медикаментозному лікуванні не перевищує місяця. Після чого настає або повне одужання, або період ремісії.

Різновид зубного гаймориту залежить від декількох факторів. Класифікація, створена всесвітньою організацією охорони здоров’я, чітко розмежувала форми хвороби.
- Розрізняють одонтогенний гайморит характер перебігу: гострий, підгострий і хронічний.
- Відкритий – з проривом, і закритий, тобто без перфорації.
- За морфологічними особливостями:
- серозний – у результаті гострого запалення;
- гнійний – для нього характерні виражений больовий синдром і яскрава клінічна картина хвороби;
- катаральний – залучена слизова оболонка носових шляхів.
Особливе місце займають гострий і хронічний типи патологій. Вони різняться між собою характером перебігу захворювання та методами лікування.
Гострий перебіг захворювання спостерігається протягом трьох тижнів. Мінімальний термін патології займає 2-3 дні. Причиною гаймориту стає проникнення інфекції через відкрите чи закрите простір.
У більшості випадків джерелом служить пошкоджений зубний корінь. Запальний процес стосується серозної оболонки пазухи і поширюється вище. Чим пізніше проведена діагностика, тим виражене клінічна картина.
Біль накопичується в області передбачуваної перегородки і поширюється майже на всю половину обличчя. Клінічна картина виражена, нерідко хворі скаржаться на утруднене носове дихання і не проходять головні болі.
Хронічна форма захворювання може бути первинною або вторинною:
- первинний тип є передумовою для гострого прояву хвороби, тобто запальний та інфекційний процеси накопичуються, супроводжуються помірними або непомітними болями.
- вторинний тип розвивається після перенесеного зубного синуситу при відсутності лікування або несвоєчасною діагностикою.
Хронічний гайморит зубного патогенезу відрізняється клінічною картиною і інтенсивністю больового синдрому від гострої форми хвороби. Пацієнти скаржаться на зміну консистенції виділеної слизу з носових шляхів.
Ускладнення одонтогенного гаймориту

Якщо вчасно не діагностувати хворобу і не почати її лікування, є ймовірність поширення інфекції на інші синуси, орбіту очі, кістки обличчя або всередину черепа.
Ось лише деякі з можливих ускладнень одонтогенного гаймориту:
- особовий целюліт або абсцес;
- орбітальний целюліт;
- внутриглазничный абсцес;
- менінгіт;
- абсцес мозку;
- тромбоз кавернозних синусів;
- періодонтальний абсцес;
- ороантральная фістула.
Щоб уникнути таких небезпечних наслідків, важливо уважно ставиться до свого здоров’я і не пускати все на самоплив.
Основна частина ускладнень пов’язана з тим, що патогенна флора поширюється з гайморової пазухи за допомогою лицьової і головної вени і потрапляє у венозну систему мозку. Крім того, бактеріальна середовище проникає в область орбіти і сигмовидный синус.
При відсутності своєчасного, правильного лікування гайморит провокує розвиток дифузного остеомієліту, що локалізується у верхній щелепі. Це захворювання небезпечне тим, що деформує кістку, що призводить до косметичних вад. У разі потрапляння патогенів у систему кровотворення, можливе ураження нирок або міокарда.
Пізня діагностика або відсутність лікування може призвести до серйозних ускладнень. Найменшу небезпеку представляє нагноєння синодального свища. В інших ситуаціях ускладнення більш плачевні:
висока ймовірність порушення мозкового кровообігу;- збільшується ризик потрапляння інфекції в кров’яне русло, що призводить до сепсису;
- нагноєння очниці;
- розрив м’яких тканин;
- поразка верхньої щелепи в ротовій порожнині.
Невралгія трійчастого нерва і збільшення лімфовузлів часті супутники зубного синуситу. а при розвитку ускладнень посилюють відновний процес.

З ймовірних ускладнень від одонтогенного гаймориту можна виділити:
- Ураження верхньої щелепи.
- Ураження очей.
- Сепсис.
- Кіста.
- Менінгіт.
- Запалення зубних лунок.
- Остеомієліт.
При відсутності якісно лікування ризик ускладнень зростає.
Народні засоби при лікуванні одонтогенного гаймориту
Вилікувати одонтогенний гайморит народними засобами не вийде. Але їх цілком можна використовувати в якості заміни промивним рідин. Відваром з ромашки прополіскують носову порожнину. Цей засіб сприяє загоєнню і знезараженню пошкоджених ділянок.
Якщо немає алергії на продукти бджільництва, добре допоможуть інгаляції з прополісом. Для цього необхідно розчинити пару ложок прополісу у двох літрах води. Вдихають пари через ніс протягом 15 хвилин.
Також добре зарекомендував себе ще один народний рецепт ‒ назальная мазь на основі меду. Потрібно змішати в рівних частках мило, мед, молоко та олію. Суміш нагрівають і доводять до придбання сумішшю однорідної консистенції.
Хірургічне лікування одонтогенного гаймориту

Часто консервативна терапія при зубному синуситі не дає належного ефекту. Саме для цієї форми гаймориту властиво оперативне втручання для очищення слизових оболонок і видалення сторонніх предметів.
Прокол гайморової пазухи при стоматологічному синуситі потрібен в більшості випадків. Пункція забезпечує відведення накопичився гнійного ексудату і доставку необхідного лікувального розчину антибіотика, антисептика і ферментів безпосередньо за адресою.
Незважаючи на погану славу, прокол з використанням голки Куликовського під місцевою анестезією практично безболісний. Пацієнт відчуває лише короткочасне неприємне відчуття розпирання зсередини камери під час нагнітання в неї рідини. Рідина зі слизовими накопиченнями видаляється через рот.
У більшості випадків декількох пункцій у поєднанні з медикаментозною терапією достатньо для того, щоб перемогти хворобу. Однак прокол має і свої слабкі сторони, тому ряд фахівців скептично ставиться до його можливостей.
При ньому неможливо видалити з синуса змінені тканини (кісти, поліпи), грибкові маси або чужорідні тіла (відкололися частини кореня, пломбувальний матеріал). Пункція з наступним промиванням допомагає, тільки якщо механізми природного очищення пазухи збережені, в іншому випадку доводиться робити більш серйозну операцію.

Радикальне хірургічне втручання. Видалення патологічних тканин і сторонніх предметів проводиться за допомогою операції з боку ротової порожнини. Такий метод в різних варіаціях використовується вже більше століття, проте він дуже болісний і має багато ускладнень. Пацієнт при цьому надовго випадає із звичного ритму життя.
Під верхньою губою робиться розріз від другого моляра до латерального різця. Після розкриття слизових оболонок видаляється частина стінки синуса. Через отвір, що проводиться вилучення стороннього тіла, і спеціальними хірургічними інструментами выскабливается патологічно змінена слизова оболонка.
Через ніс в передній стінці камери пробивається отвір для відводу вмісту, в нього вставляється марлева турунда, змочена в антисептику. Після завершення всіх маніпуляцій доктор накладає шви.
Ендоскопічна операція має ряд переваг перед радикальним методом. Вона здійснюється через природний з’єднувальний канал (співустя) або через отвір, що утворився після видалення ураженого зуба.
Може використовуватися як місцева анестезія, так і загальний наркоз. Тонкі ендоскопи та спеціальні інструменти дають можливість очистити пазуху, практично не ушкоджуючи здорові тканини, через крихітні доступи.
Завдяки цьому вони безпечніше відкритих операцій і набагато легше переносяться пацієнтами. Госпіталізація при ендоскопічної операції триває один день, після чого хворий тільки регулярно спостерігається у лікаря.
Відмова від оперативного втручання при одонтогенних гаймориті може загрожувати важкими ускладненнями, такими як:
- запалення лобової і клиноподібної пазухи;
- абсцес десни;
- поява в м’яких тканинах гнійників;
- флегмона орбіти ока;
- розростання тканин (поліпів і кіст) в придатковому кишені з можливим відродженням їх на злоякісні новоутворення;
- менінгіт;
- гнійне ураження мозку.
У деяких випадках можуть провести прокол синуса, з метою введення антибактеріальних та антисептичних розчинів і спеціальних ферментів. Для лікування одонтогенного гаймориту може знадобитися близько 5 сеансів.
Якщо синусит затягується і медикаменти не допомагають, лікар може порадити функціональну ендоскопічну хірургію синуса. Мета операції – розширити природне співустя пазухи і видалити пошкоджені ділянки слизової оболонки, щоб зупинити запальний процес.

Ендоскопічна хірургія практично не травматична. З її допомогою через невеликий отвір видаляються тільки безповоротно пошкоджені тканини, поліпи або сторонні тіла, тому вдається зберегти функцію синуса і мінімізувати ризик ускладнень.
Заходи профілактики
Не можна забувати про профілактичні огляди у стоматолога. У ряді випадків на ранній стадії вдається діагностувати одонтогенний гайморит. Симптоми і лікування при цьому будуть мінімальними. Чим швидше лікар проведе терапію, тим менше виникне ускладнень.
Профілактика одонтогенного гаймориту зводиться до декількох простих рекомендацій:
- щоденна гігієна ротової порожнини;
- щорічне відвідування стоматологічного кабінету;
- своєчасне лікування захворювань зубів і ясен.
Сьогодні регулярне відвідування лікарів стає невід’ємною частиною здорового суспільства. Чим швидше лікарі виявлять проблему, тим легше з нею впоратися. Слід звертатися до лікаря при перших же прояви описаної вище симптоматики і не витрачати час на самолікування.
- Необхідно негайно звертатися за лікарською допомогою, якщо є ознаки запального процесу.
- Регулярно проходити огляди у стоматолога. Вчасно заліковувати карієс, як тільки почав боліти зуб.
- Займатися зміцненням захисних функцій організму, правильно харчуватися.
- Використовувати антисептичні засоби для полоскання порожнини рота.
https://www.youtube.com/watch?v=csIWljrFix8
Поширенню одонтогенного гаймориту завжди сприяє слабкий імунітет. Захисні функції організму мають тісний взаємозв’язок зі станом зубів. Тому будь-яке лікування одонтогенного гаймориту повинно починатися з походу до стоматолога. Ризик розвитку даної хвороби можна запросто оцінити за допомогою діагностичних інструментів.
Наслідки несвоєчасного лікування
Прогноз в даному випадку повністю залежить від того, на якій стадії пацієнт звертається за професійною допомогою. В стадії початку захворювання ніяких наслідків для здоров’я не буде. А ось складні випадки можуть серйозно нашкодити. При цьому під ударом виявляються життєво важливі органи і тканини, а також зовнішній вигляд хворого.
Своєчасна турбота про зуби позбавить від багатьох неприємних хвороб організму і надовго збереже чарівну посмішку. І все, що для цього потрібно, ‒ це трохи уваги до себе, профілактика і професійний підхід до лікування.
Пізня діагностика передбачає відсутність лікування або застосування неприйнятною терапії. Все це ускладнює усунення проблеми і обтяжує лікування одонтогенного гаймориту. При запущеній формі хвороби відбувається розмноження бактерій, які проникають у кров.
Формуються кісти з гнійним вмістом, з’являються нориці через зруйнованої тканини. Зона ураження поширюється на області очниці, що не виключає розвиток сліпоти. Бактеріємія може призвести до летального результату.